Childhood pneumonia is surging in many countries
Hybrid viruses can emerge from co-infections. And we don’t know their effects.
- 5 December 2023
- 4 min read
- by The Conversation

You may have heard reports about outbreaks of pneumonia affecting children in the Netherlands, Denmark and parts of the US and China, which are higher than usual for this time of year. Parents are keeping a watchful eye on the news, while public health officials monitor the global incidence of severe respiratory infections and record cases and causes. However, there is no new virus or other type of new pathogen to worry about in these outbreaks.
Here’s what we know.
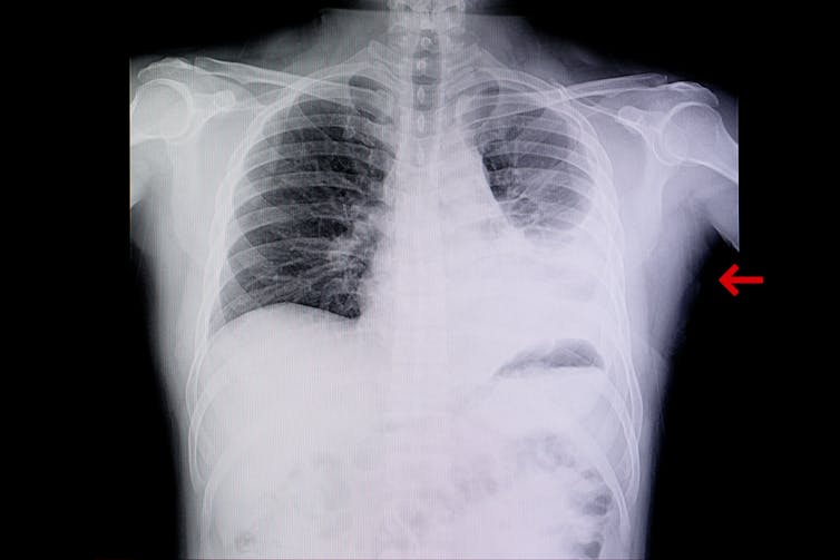
Pneumonia is inflammation of the lungs, usually caused by bacterial or viral infections. It may affect deeper lung tissues than bronchitis, which is airway tube inflammation, and can have symptoms such as fever, breathing problems and chest pain, showing up as a white shade in lung chest X-rays. There is no special designation of “white lung pneumonia”, scary as it may sound.
This season, known respiratory germs, including respiratory syncytial virus (RSV) and Mycoplasma pneumoniae bacteria, have been recorded and are quite expected for this time of year. Mycoplasma outbreaks flare up every few years and can be resistant to common antibiotics.
Most infected children and adults will develop flu-like symptoms that will clear up on their own after a few days, but some may develop into more serious inflammation of the lungs requiring treatment and, in some cases, hospitalisation.
But why do some people get more severe diseases? And are there any differences this season?

Healthy children make the most of passing harmless respiratory viruses to each other at an early age, helping to educate their immune systems and build immunity to similar germs in the future.
Over 200 viruses can cause respiratory infection, including RSV, adenoviruses, enteroviruses, rhinoviruses and coronaviruses. Symptoms can be more serious in the young when similar infections have not been previously encountered. It takes about a week for specific immunity to develop its arsenal to a new pathogen.
Have you read?
After the infection is cleared, memory cells remain to protect against future infections. We appreciate that antibodies to common cold viruses such as coronaviruses wane after around two years and RSV-specific antibodies in infants may wane even faster. However, memory cells persist, so to escape immunity, viruses mutate to avoid recognition.
There are no differences in expected viral infections this year, and the known culprits were reported in expected waves based on pre-pandemic levels, according to the World Health Organization. Mycoplasma pneumoniae flares are also as expected. However, waning mycoplasma-specific herd immunity has been flagged up with a warning to watch out for the resurgence of severe cases following the pandemic restrictions.
Unknown effects of co-infection
COVID restrictions are a thing of the past and people that mix in schools, nursing homes and other high-risk environments are likely to come across several infectious diseases at the same time.
Studies in children with acute severe hepatitis in the UK and the US showed that multiple viral infections were causing unexpected liver damage. Multiple infections can lead to more severe disease, where even viruses that can be considered harmless can add to tissue injury.
In science labs, it has been shown that being infected with more than one respiratory virus (known as “co-infection”) can lead to hybrid viruses. These hybrid viruses may behave differently from the individual viruses – causing different symptoms and perhaps even evading the immune system.
So what do we need to know to determine if a new dangerous outbreak occurs? The incidence of known infections and symptoms are recorded and reported so that any new, potentially more dangerous variants can be detected. Hospitals can become overwhelmed during flu season, but flu does not circulate in isolation and symptoms can worsen when people are simultaneously infected with more than one respiratory virus.
Respiratory infections can cause lung injury, which takes time to heal. Having one respiratory infection followed by another can prolong this healing time, leading to more severe symptoms and longer illness. This is particularly felt by asthma sufferers, who are advised to take their annual flu jab and avoid catching seasonal infections.
Pneumonia-causing infections are contagious. The COVID pandemic has highlighted tips to avoid catching a respiratory infection, which include avoiding contact with infected people, effective ventilation, masking and hand hygiene. Given what we now know about the impact of “harmless” infections, particularly simultaneous infections with more than one pathogen, it is critical to take action to stop the spread.
Authors
Zania Stamataki, Associate Professor in Viral Immunology, University of Birmingham
This article is republished from The Conversation under a Creative Commons license. Read the original article.
Disclosure statement
Zania Stamataki does not work for, consult, own shares in or receive funding from any company or organisation that would benefit from this article, and has disclosed no relevant affiliations beyond their academic appointment.
Partners
University of Birmingham provides funding as a founding partner of The Conversation UK.
More from The Conversation
Recommended for you





